All-on-4&IOD

All-on-4&IOD

もう「外れる」「噛めない」
入れ歯で悩まない
インプラントで
「しっかり噛める」笑顔を
近隣の歯科医院の皆様へ

歯が1本もない方、歯周病と言われ骨が減っている方、そういう方でも選択可能な方法があります。

歯が1本もなく現在入れ歯を使っているけれども、入れ歯の違和感がなくならない、入れ歯が合わない、人に知られるのが嫌だ、など入れ歯に対してお困りごとはありませんか。人生100年と言われる現在、口の悩みをそのままにしていたら食事の楽しみも半減しますし、まだまだ先の長い人生、ずっと悩みを抱えながら生きていかねばなりません。

そのお悩み、インプラントで改善できる場合があります。インプラントにすることによって入れ歯から開放される、また、入れ歯をインプラントと組み合わせることによって安定した入れ歯を作ることができます。

また、歯周病や老化により骨が減っていると言われインプラントを治療の選択肢から外していませんか。骨が減っていてもインプラント治療ができ、今の入れ歯よりも快適なインプラントオーバーデンチャーを作ることができたり、全顎インプラント治療ができる可能性があります。

人生は100年。まだまだ歯を使っておいしい物を食べ、自信のある笑顔でいて頂きたい。年を取ったからとインプラント治療をためらう必要はありません。インプラント治療する方法、骨量を回復できる方法もございます。まずは加古川市の歯医者Wデンタルクリニックへご相談ください。

歯が無い方や
総入れ歯の方の治療法
歯が無い方や総入れ歯の方の治療法

入れ歯の方は、「入れ歯が外れやすい」「食事のたびにズレて痛い」「自然に笑うことができない」etc...
そんなお悩みをお持ちの方も多くおられます。

加古川市の歯医者 Wデンタルクリニックでは、少ない本数のインプラントで固定するAll-on-4(オールオンフォー)インプラントを利用した入れ歯治療(インプラントオーバーデンチャー)など、無歯顎の方に向けた新しい治療法をご提案しています。

無歯顎や総入れ歯の方の治療法としては、下記の2つがあります。

  • インプラントを入れて全顎にわたって歯を入れるか
  • 入れ歯をインプラントオーバーデンチャーに変える

難しいことでも基礎理論に基づきシンプルにやる!
それがWデンタルクリニックのインプラント治療です。
より詳しい内容は以下をご覧ください。

オールオンフォー(All-on-4)

インプラントで補綴する場合は、オールオンフォー(All on 4)という治療法を用います。片顎にインプラント体を最小4本で、インプラントブリッジを作成し全顎の歯を作る治療法です。

「すべての歯を最少4本のインプラントで支える」先進的な治療法で、通常のインプラントよりも手術の負担が少なく、即日で仮歯が入るケースもあります。

▼オールオンフォー(All-on-4)の魅力

  • 最少4本のインプラントで全ての人工歯を支えられる
  • 手術当日に「仮の歯」で食事や会話が可能
  • 骨が少ない方でも対応できることが多い
  • 見た目が自然で、自分の歯のような仕上がり
インプラント
オーバーデンチャー

インプラントオーバーデンチャー(=IOD)はインプラントと入れ歯を組み合わせたものでボタン状やはめ込み式の金属の部品を用いてインプラントと入れ歯を連結する治療法です。

総入れ歯を2〜4本のインプラントで支える治療法で、入れ歯がインプラントに「カチッ」と固定されるため、従来のように吸着力だけに頼らず、しっかり安定して外れにくいのが特徴です。

▼インプラントオーバーデンチャー(IOD)の魅力

  • 入れ歯がズレず快適、噛む力が向上し、硬い物も含め食事が楽しめる
  • インプラントが骨を刺激するため、顎の骨がやせにくい
  • 手術の負担が少なく、比較的短期間で治療可能
オールオンフォー、インプラントオーバーデンチャーの比較
  オールオンフォー インプラントオーバーデンチャー
違和感 自分の歯のようなので違和感は少ない 従来の入れ歯よりは小さいが、入れ歯の形をしているため違和感はある
咬み心地 自分の歯のように噛める 従来の入れ歯よりも咬む力が強い
インプラント本数 片顎最小4本から可能 片顎最小2本から可能
見た目 天然歯のような見た目で審美性が高い 見た目は総入れ歯と変わらない
費用 インプラントの本数に加え、人工歯の費用がかかる インプラントの本数が少なく、上部構造は入れ歯のため費用は抑えられる
使いやすさ、清掃性 自分の歯のように磨ける。
ブリッジの中間の部分やインプラント周囲の清掃は丁寧にする必要がある。
入れ歯は取り外せるので清掃しやすい。
インプラント周囲は丁寧に清掃する必要がある。
症例 適応症例が限られる。
骨が少ない場合は骨増生術が必要な場合がある。
骨が少なくとも骨の多い場所にインプラント治療をすればいいので適応できる症例は多い。

右へスクロールできます →

インプラント治療は、もう「骨が少ないから」「年齢的に難しいから」とあきらめる時代ではありません。

今の入れ歯の不満を解消し、もう一度「しっかり噛める生活」を取り戻すために、まずは一度ご相談ください。

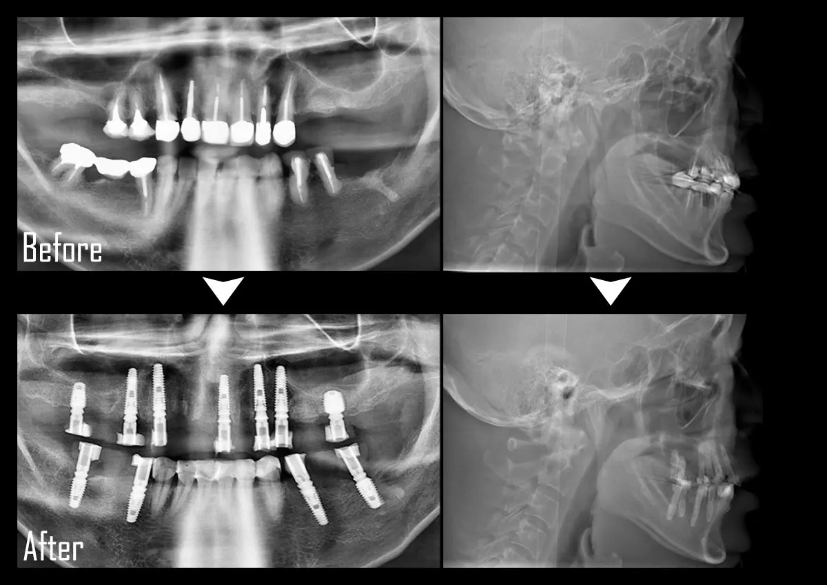
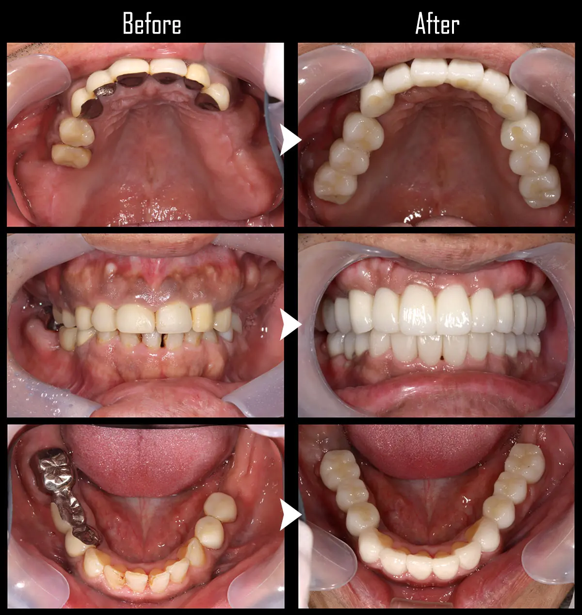
症例
CASE:All-on-4(オール・オン・フォー)
症例All-on-4(オール・オン・フォー)
症例All-on-4(オール・オン・フォー)
主訴 奥歯がない
治療内容 上下合計11本のインプラント治療を行い、全顎治療を実施
標準費用(自費) 781万円
副作用・リスク
  • 治療には必ず手術を伴います。
  • 重度の歯周病がある場合は、インプラント治療後、脱離のリスクが高いです。
  • 体質等によりインプラントと骨の定着が困難な場合があります。

お気軽に
無料カウンセリングへ
お越しください

加古川市でインプラントをご検討中の方はWデンタルクリニックまでお問い合わせください。
無料カウンセリングにて費用や治療期間等をしっかりとご説明させていただきます。
セカンドオピニオンにも対応していますのでお気軽にご相談ください。

直近のご予約可能日
Wデンタルクリニック
〒675-0017 
兵庫県加古川市野口町良野12-1
KOCOSQUARE 2F
JR加古川駅からバスで15分 
「長砂西停留所」から徒歩5分
JR東加古川駅からバスで10分
「長砂公民館前」から徒歩5分
駐車場20台分完備
診療時間
10:00〜18:00

【休診日】日曜 / 祝日

0120-881-101
無料カウンセリング予約
079-421-8080
Instagram
近隣の歯科医院様へ