インプラント症例集

CASE

症例集
インプラント症例紹介
CASE:小臼歯1本
症例All-on-4(オール・オン・フォー)
主訴 歯が折れてると言われて痛い
治療内容 下顎左5番にインプラント治療
標準費用(自費) 55万円
副作用・リスク
  • 治療には必ず手術を伴います。
  • 重度の歯周病がある場合は、インプラント治療後、脱離のリスクが高いです。
  • 体質等によりインプラントと骨の定着が困難な場合があります。
CASE:大臼歯1本
主訴 被せ物が取れた
治療内容 下顎左6番にインプラント治療
標準費用(自費) 55万円
副作用・リスク
  • 治療には必ず手術を伴います。
  • 重度の歯周病がある場合は、インプラント治療後、脱離のリスクが高いです。
  • 体質等によりインプラントと骨の定着が困難な場合があります。
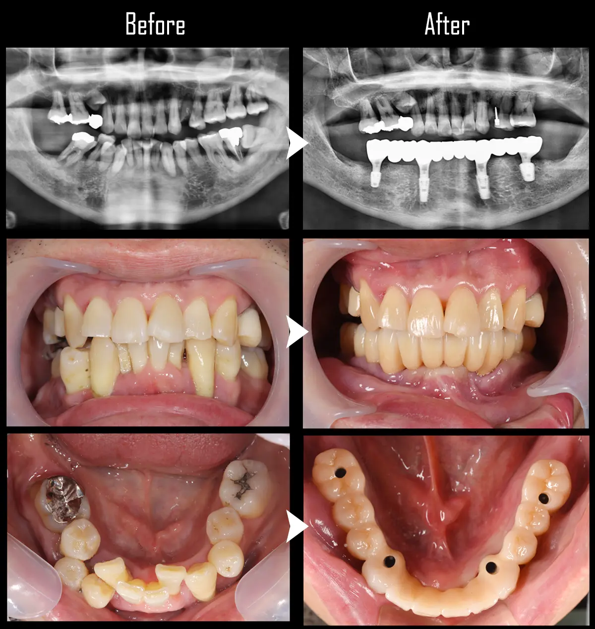
CASE:下顎のAll-on-4(オール・オン・フォー)
主訴 全体的に歯がグラグラしていて噛めない
治療内容 下顎をAll-on-4(オール・オン・フォー)で治療
標準費用(自費) 330万円
副作用・リスク
  • 治療には必ず手術を伴います。
  • 重度の歯周病がある場合は、インプラント治療後、脱離のリスクが高いです。
  • 体質等によりインプラントと骨の定着が困難な場合があります。
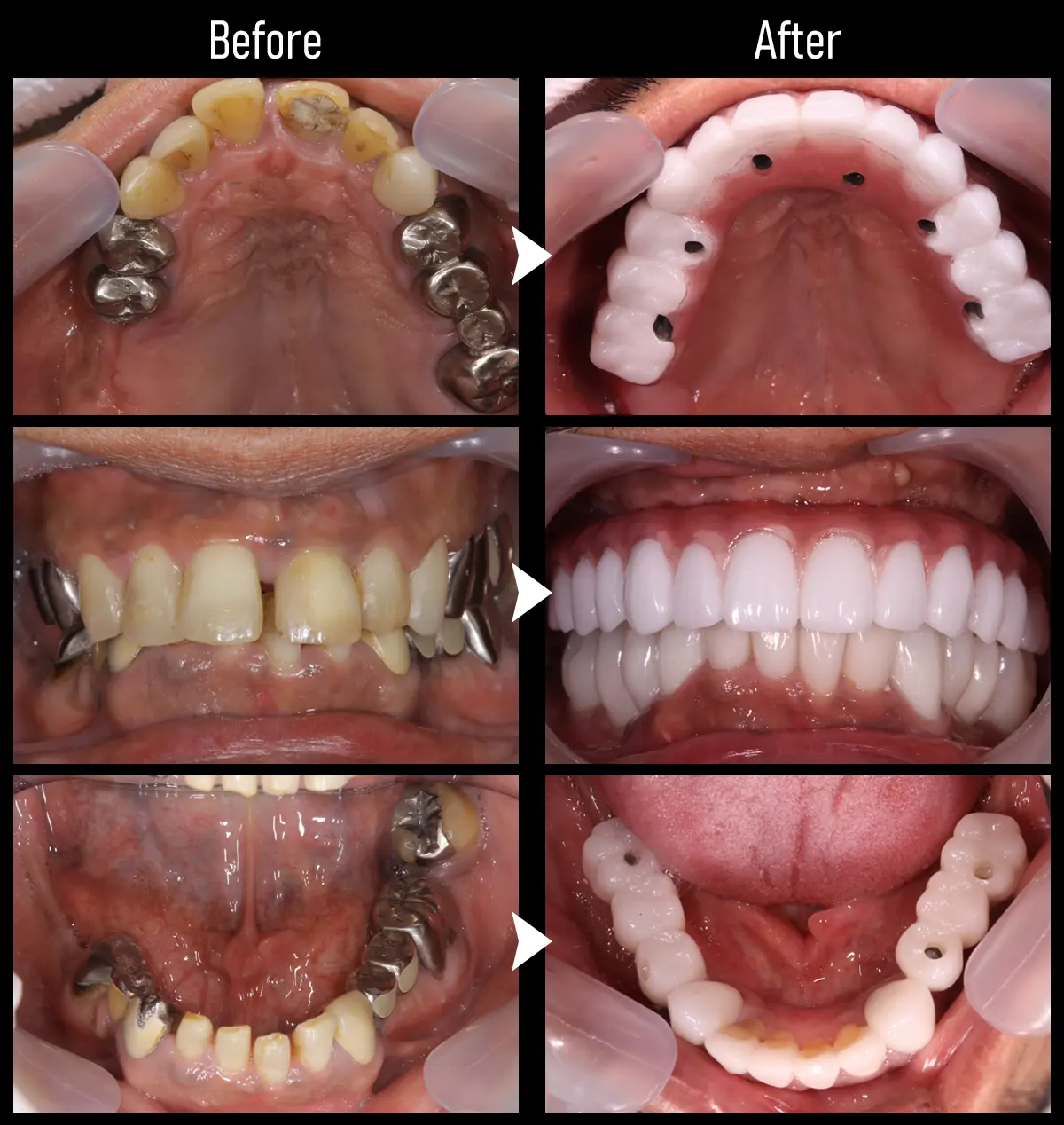
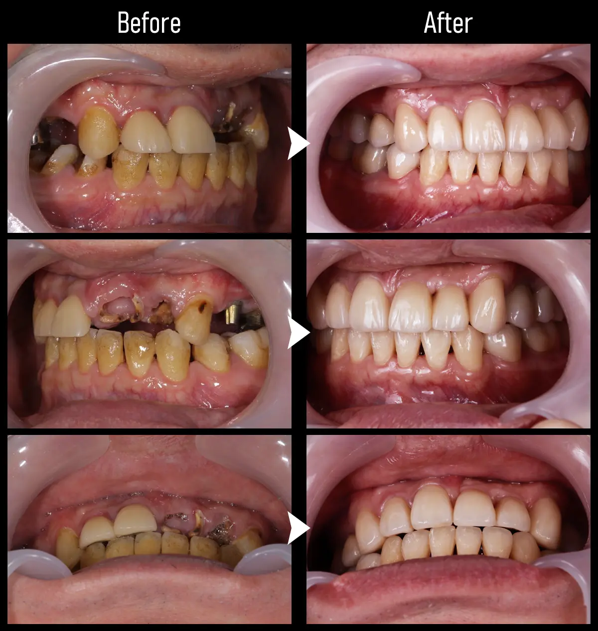
CASE:All-on-4とインプラントブリッジ
症例All-on-4(オール・オン・フォー)
症例All-on-4(オール・オン・フォー)
主訴 奥歯がなく、前歯がすいてきたので治したい。
治療内容 上顎はAll-on-4(オール・オン・フォー)治療し、下顎はIMPBr(4本+2本ポンティック)で治療。
標準費用(自費) 上顎:440万円
下顎:319万円
副作用・リスク
  • 治療には必ず手術を伴います。
  • 重度の歯周病がある場合は、インプラント治療後、脱離のリスクが高いです。
  • 体質等によりインプラントと骨の定着が困難な場合があります。
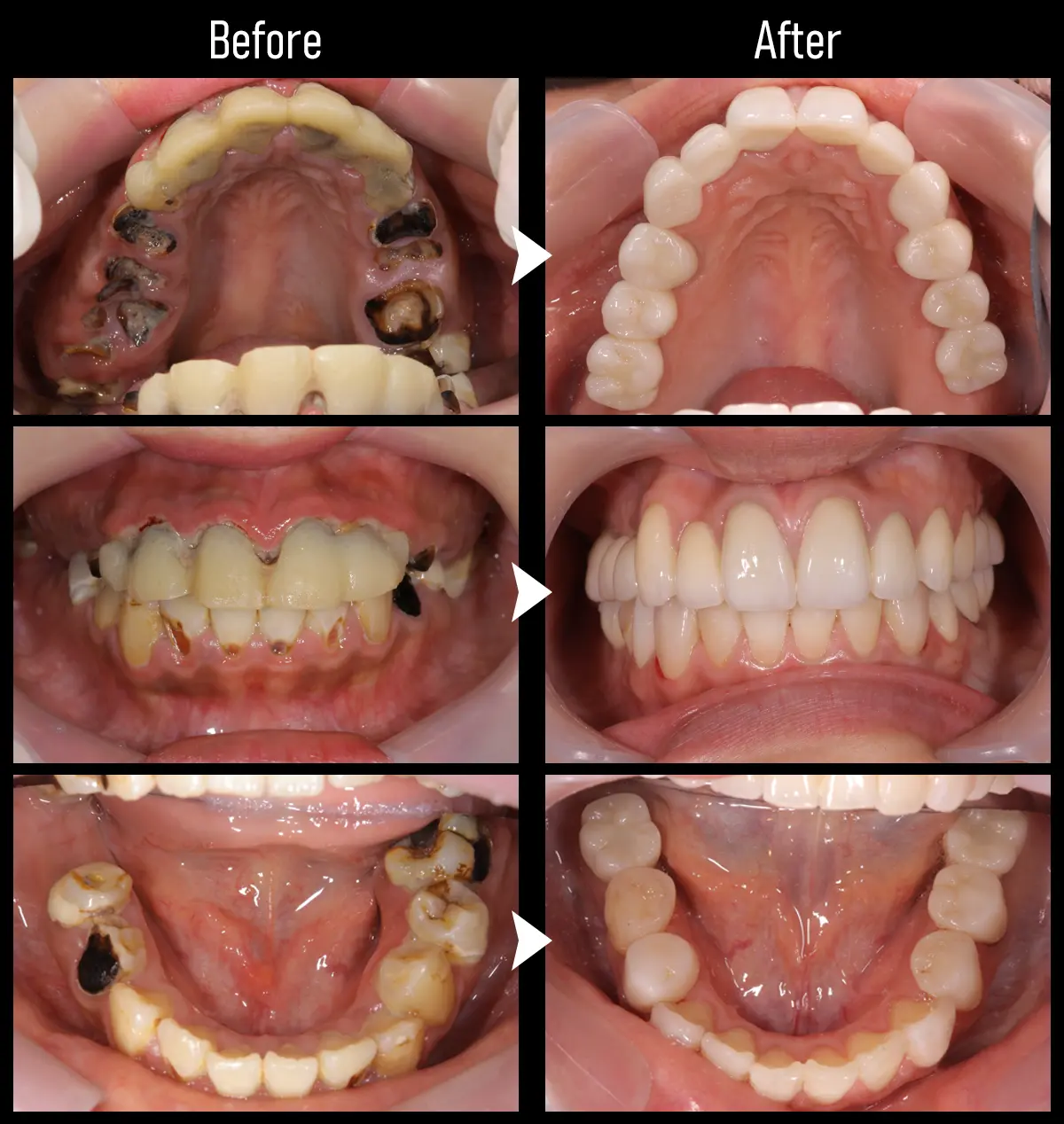
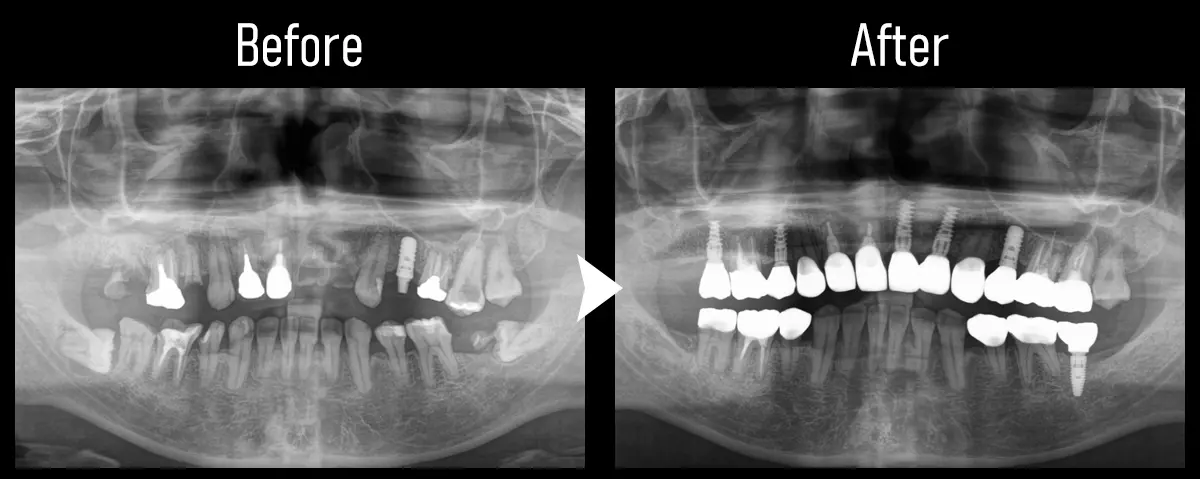
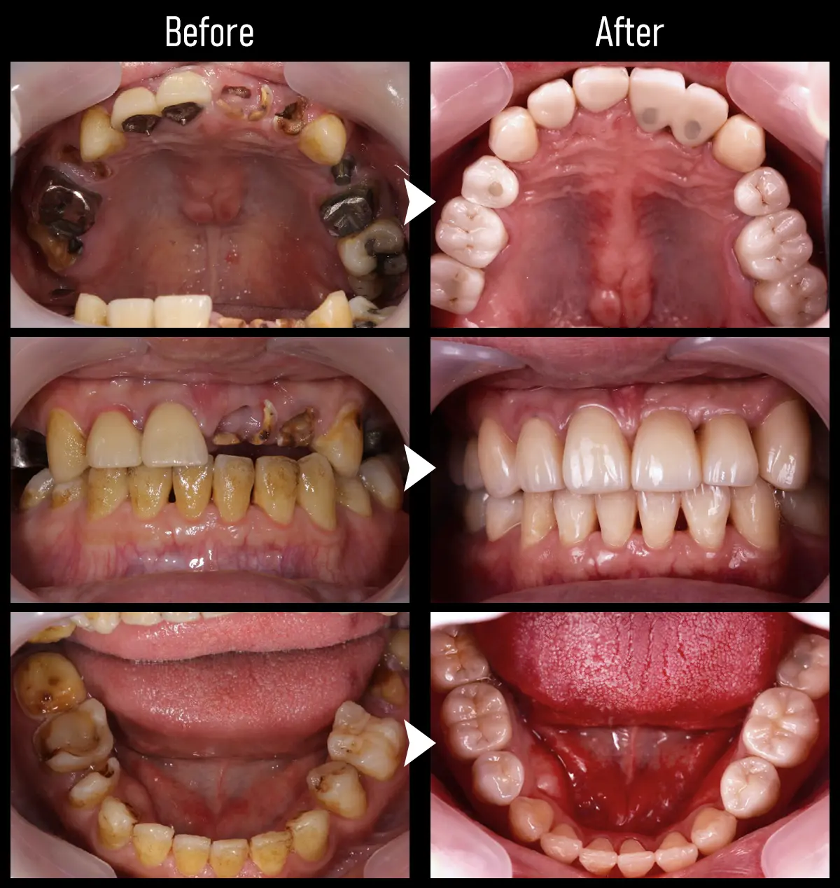
CASE:フルマウス
症例All-on-4(オール・オン・フォー)
症例All-on-4(オール・オン・フォー)
主訴 奥歯がない
治療内容 上下合計11本のインプラント治療を行い、全顎治療を実施
標準費用(自費) 781万円
副作用・リスク
  • 治療には必ず手術を伴います。
  • 重度の歯周病がある場合は、インプラント治療後、脱離のリスクが高いです。
  • 体質等によりインプラントと骨の定着が困難な場合があります。
CASE:複数歯インプラント1
主訴 前歯が取れた
治療内容 前歯を含め、上顎にインプラント治療を5本と下顎左6番にインプラント治療を行い、下顎右の補綴治療も実施。
標準費用(自費) 635万円
副作用・リスク
  • 治療には必ず手術を伴います。
  • 重度の歯周病がある場合は、インプラント治療後、脱離のリスクが高いです。
  • 体質等によりインプラントと骨の定着が困難な場合があります。
CASE:複数歯インプラント2
主訴 前歯が取れた
治療内容 上顎に4本、下顎に2本インプラント治療を行い、前歯を含め補綴治療を実施
標準費用(自費) 478.5万円
副作用・リスク
  • 治療には必ず手術を伴います。
  • 重度の歯周病がある場合は、インプラント治療後、脱離のリスクが高いです。
  • 体質等によりインプラントと骨の定着が困難な場合があります。

お気軽に
無料カウンセリングへ
お越しください

加古川市でインプラントをご検討中の方はWデンタルクリニックまでお問い合わせください。
無料カウンセリングにて費用や治療期間等をしっかりとご説明させていただきます。
セカンドオピニオンにも対応していますのでお気軽にご相談ください。

直近のご予約可能日
Wデンタルクリニック
〒675-0017 
兵庫県加古川市野口町良野12-1
KOCOSQUARE 2F
JR加古川駅からバスで15分 
「長砂西停留所」から徒歩5分
JR東加古川駅からバスで10分
「長砂公民館前」から徒歩5分
駐車場20台分完備
診療時間
10:00〜18:00

【休診日】日曜 / 祝日

0120-881-101
無料カウンセリング予約
079-421-8080
Instagram
近隣の歯科医院様へ